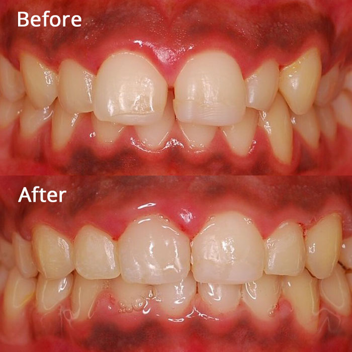
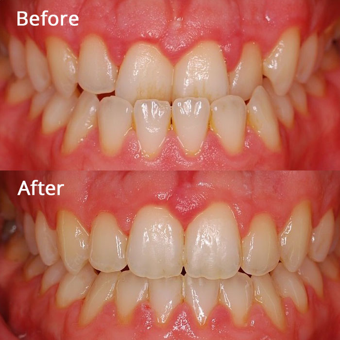
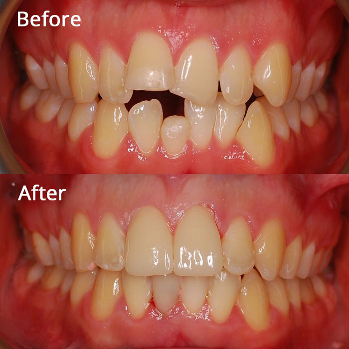
Fastbraces